
No wire, clear orthodontic treatment!

In 2012, we brought our patients digital crowns and fillings that can be completed in one visit. Now, if you are looking for an alternative to metal braces and want the precision and comfort that digital dentistry can provide, we are bringing our patients clear orthodontic treatment for adults called ClearCorrect.
ClearCorrect is the clear and simple choice. No impressions. No wires. No brackets. Just clear, convenient comfort—every reason to smile, utilizing the same digital scanning technology that we use to fabricate precision restorations. With ClearCorrect, we can straighten your teeth using a series of clear, custom, removable aligners. Each aligner moves your teeth just a little bit at a time until you eventually get straight teeth.
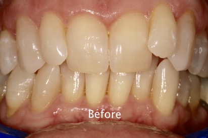
Actual case done in our office! 


(601)-629-4100